Oesophageal Leiomyoma
Images 1-5: Oesophageal Leiomyoma measuring 3.1 x 2.6 x 2.5 cm in a 23-yo male smoker's case.
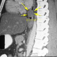
Images 6-8: Leiomyoma of the oesophagus (esophagus) measuring 5.5 x 3 x 2.5 cm in a 42-yo male smoker
Images 6-8: Leiomyoma of the oesophagus (esophagus) measuring 5.5 x 3 x 2.5 cm in a 42-yo male smoker
