Atypical Lipomatous Tumour of Rib
Intrathoracic tumour (7 x 6 x 4 cm) of the left 5th rib in a 23-yo male smoker's case
riblipomatous1.jpg

Green: Tumour still inside the surgical field, White: the transected 5th rib

riblipomatous2.jpg

Specimen of the rib's tumour, resected

riblipomatous3.jpg

Specimen of the rib's tumour, resected

riblipomatous4.jpg

The residual Chest Wall DEFECT

riblipomatous5.jpg

The RECONSTRUCTION of the Defect by using a PTFE prosthesis

riblipomatous6.jpg

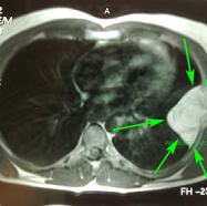
Preop CT. Green: atypical lipomatous tumour of the 5th left rib

riblipomatous8.jpg

Preop MRI. Green arrows: tumour