Βρογχογενής Κύστη Μεσοθωρακίου Δεξιά

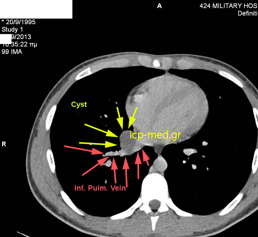
CT: Στενή ανατομική σχέση κύστεως με Κάτω Πνευμονική Φλ (ΕΡΥΘΡΑ)

CT: Στενή ανατομική σχέση κύστεως με Κάτω Πνευμονική Φλ (ΕΡΥΘΡΑ)